
Gum Disease
Periodontal Disease Is More Common than You Realize
Worried about Your Gums? Schedule an Appointment
Have you begun to notice signs of gum disease? Your oral health could be in jeopardy. Schedule an appointment at Dental Group South in Stockbridge, GA, so that Dr. Greene can take a look at your gums and recommend the appropriate treatment. We offer a range of general dentistry procedures to meet your needs.
Men and women from all over Greater Atlanta can request a consultation with Dr. Greene by contacting us online or by calling our office.
Call Us: (770) 474-1431
:quality(73)/https://d1l9wtg77iuzz5.cloudfront.net/assets/6133/315327/original.jpeg?1599756929)
Hear from Our Patients 5-Star Google Reviews
Dr.Greene is the best dentist ever. I have been going to him for 25 years. He is more than experienced. He is very kind and understands the patient needs very well. I give him 5 stars.
View More Google ReviewsDr. Greene, Lori and his entire staff are great. I have been seeing Dr. Greene for 23 years and, obviously, I have been very pleased. The team at Dental Group South is very professional, helpful, attentive and friendly. I would highly recommend Dr. Greene.
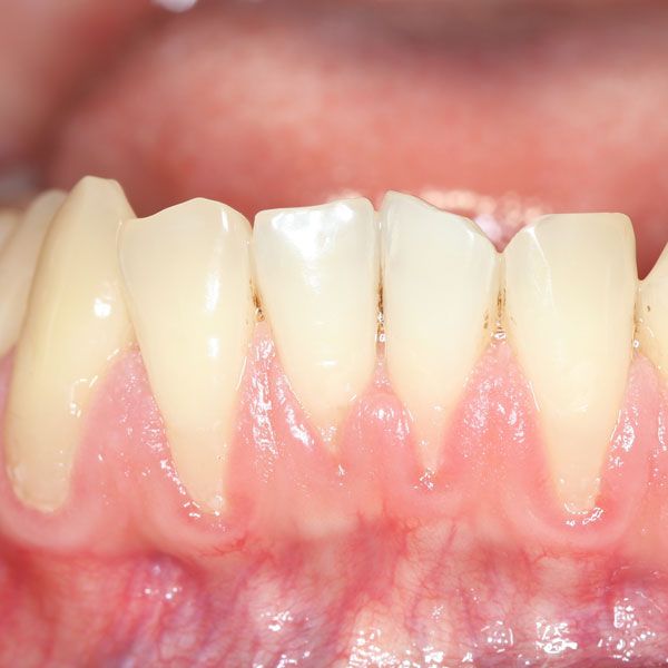
View More Google ReviewsThe Progression of Gum Disease
Phase One
Periodontal disease begins when bacteria-filled plaque builds up on your teeth and gums, often as a result of poor oral hygiene. As plaque hardens into difficult-to-eliminate tartar, it irritates the gums and causes gingivitis, the earliest stage of gum disease. Gingivitis is characterized by swollen and inflamed gums that are especially prone to bleeding.
Phase Two
If gingivitis is not addressed, the gum tissue can become so swollen that it separates from the teeth, forming spaces that dentists call pockets. These pockets are harmful because they can easily become filled with plaque that can't be reached with typical brushing and flossing. Once plaque gets into the pockets, you are at risk of periodontitis.
Phase Three
When you have periodontitis, the most advanced form of gum disease, your body's immune system will respond by attacking the bacteria in your pockets. Unfortunately, your jawbone and gum tissue can become collateral damage in this attack, and the connection between your teeth and gums can become weak, potentially leading to tooth loss.
Scaling and Root Planing Deep Cleaning for Your Gums
At Dental Group South in Stockbridge, GA, we address gum disease by performing deep periodontal cleanings known as scaling and root planing. This technique removes all the plaque and tartar from above and below your gum line, allowing your gums to heal and reattach to your teeth.
- Scaling: During scaling, Dr. Greene will thoroughly remove all plaque and tartar from the surfaces of your teeth and from any pockets that have formed between the teeth and the gum tissue.
- Root Planing: During root planing, Dr. Greene will gently smooth the roots of the teeth. This makes it easier for the gums to reattach to the teeth, closing the unhealthy pockets.
Although the early stages of gum disease are reversible, it becomes chronic in later stages. The good news is that chronic gum disease can be controlled with regular care from Dr. Greene.
Periodontal Treatment Can Save Your Teeth

"Excellent service. Friendly, professional, excellent care, and honorable. No complaints. Would recommend to family and friends." 5-Star Google Review
Gum Disease FAQs
How do you identify gum disease?
Dr. Greene can often diagnose gingivitis simply by looking at your gums. When you visit us for an initial appointment, we will take scans of your bite with our 3D scanner. Dr. Greene can analyze these scans to identify pockets, jawbone weakness, and other signs of periodontitis.
Will my loose teeth become stable?
There is a chance that your teeth can become stable after scaling and root planing, along with other treatments. However, if the teeth have become too loose, they may have to be extracted. Dr. Greene can perform safe and comfortable extractions at our office, and he coordinates with local experts to offer dental implant treatment, so you won't have to have a gap in your smile for long.
Can I treat gum disease at home?
Maintaining excellent oral hygiene is the key. Proper dental care at home, including brushing and flossing, can treat gingivitis. However, once gum disease progresses further, you'll need professional dental care to protect your oral health.





